ジルコニアブリッジ症例
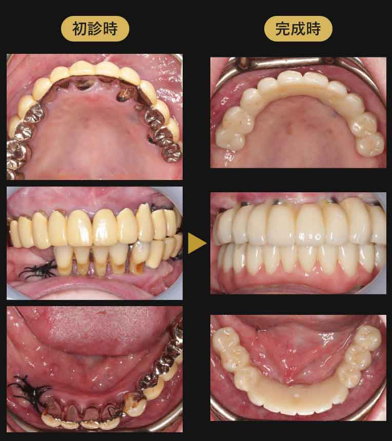
症例9
- 治療内容
- 77歳 女性 上下のブリッジが激しく動揺。
右下3、4番から排膿。
上顎5本 下顎5本のインプラントを埋入。
神経に近接しているために、エックスマーク法により埋入した。 - 治療費用
- インプラント10本 5,676,000円
- 治療期間
- 9ヶ月
- リスク・副作用
- 外科処置を行うので多少の痛みや腫れが出ることがある。



初診時 噛みにくいために左右の口唇の厚みが違う
完成時 しっかりとした膨らみのある顔に変化している
完成時 しっかりとした膨らみのある顔に変化している












